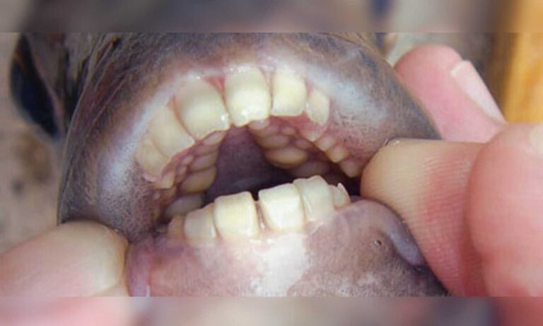
Hyderabad: A fish with human teeth was caught in Godavari river at Basara, Nirmal district, on Sunday. Fisherman Gundla Santosh...
Hyderabad: A fish with human teeth was caught in Godavari river at Basara, Nirmal district, on Sunday. Fisherman Gundla Santosh...